Bättre upplevelse i mobilen >>
BALANSERADE HOVAR
ger hållbara hästar !
Från balanserad hov till deformerad.
TITTA PÅ FILMEN NU !
https://www.facebook.com/EDSSHoofCare/videos/887356884673170/?d=null&vh=e
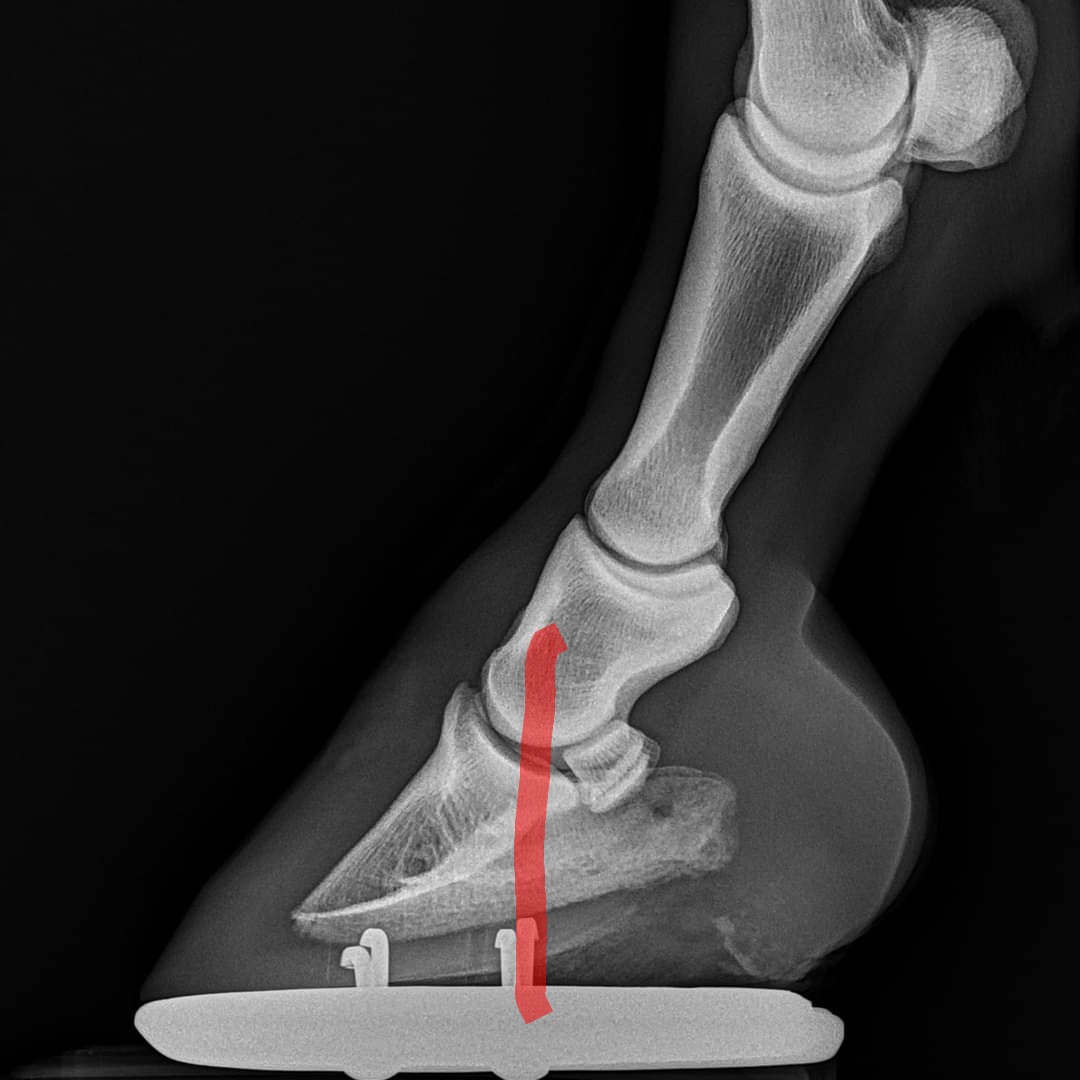
BALANSPUNKTEN I HOVLEDEN
Mitten på hovens yta mot marken är den aktuella balanspunkten.
Balanspunkten bör ligga mitt under hovleden. Då kommer trycket från hela hästens tyngd på det starkaste stället i leden.
Balanspunkten flyttar sig framåt inne i hoven när den växer. Trycket från hästens tyngd hamnar då inte längre på det starkaste stället i leden och en skadlig belastning uppstår.


HOVKAPSELN ÄR LEVANDE
och verkningen formar den
Den ändrar form efter de tryckkrafter och dragkrafter som den utsätts för. Om den utsätts för onaturliga krafter uppstår en obalanserad hovform. En deformation har skett.
- Deformation definieras som en kropps förändring från den ursprungliga formen till den nuvarande formen.
Hovkapseln är elastisk inom vissa krafter
- Det vill säga, att töjningen upphör då spänningen upphör, och hovkapseln återtar sedan sin form.
- Med andra ord tänjs/utvidgas hovkapseln när hästen belastar hoven och återtar sedan formen när hästen lyfter hoven igen.
- Men blir kraften för stor och långvarig förblir dock förändringen permanent och hovkapseln har blivit deformerad.
- Och vid en tillräckligt hög kraft/spänning uppnås brottgränsen, och ett brott sker på hovkapseln. En hovspricka har uppstått.
- Jämför med en metallbit. Den går att böja till en viss gräns utan att permanent böjning uppstår. Böjer man ytterligare behåller biten den böjning som uppstått, fortsätter man ytterligare bryts den tillslut av.
Nedan syns ett exempel där man kan se att sulan genast har möjlighet att “dra ihop sig”
Vet du vilka skador obalans ger? 🙄
Fortsätt hovresan…
🐎

Gammal tro; Hoven ska bära mest vikt på hovväggen.
Ny vetskap; Hoven ska bära mest vikt på sula och dyna.
Detta gör stor skillnad för balansen
Hör forskaren Dr. Bowker berätta :
Gammal tro.; Färdigt skelett ändras inte.
Ny vetskap; Skelett cellerna byts ut vart 7:e år och förändring sker konstant.
Cellernas bildar hållbara mönster innuti varje benbit utifrån den belastning skelettet utsätts för.
Forskning visar att hovens mekanism fungerar allra bäst UTAN skor som hindrar hovrörelsen som sker när elastiska putan, böjsenan och trampdynan tar upp stötdämpningen i hoven.

Finns det fotsvamp (vänster hov) eller röta blir stötdämpningen kraftigt nedsatt eftersom elastiska putan och trampdynan (strålen) faller sönder.
Ofta blir hästen väldigt öm av det.
Hoven behöver då hovrehab – läka ut svampangreppet.
Om inget görs är det vanligt att hoven, för att skydda den angripna stötdämpningen, bygger upp en skadligt hög häl på hovkapseln.
Tyvärr medför en anatomiskt för hög häl att hovbenet inne i hovkapseln även det höjs i bakkant och tippar… framåt.
Trycket på hovbenet i tån blir då för högt och kraften som hästen trycker ner på hovleden blir fel och med tiden uppstår ofta hälta.
(Att slå på en järnsko kan göra hästen oöm, MEN det döljer egentligen bara det verkliga problemet och gör det såklart värre då det ofta blir hältproblem senare)
Hoven har en hård men elastisk nagel runt hela den inre kötthoven – nageln kallas hovkapsel.
Innanför hovkapselns sula och trampdyna (som sitter ihop) finns kötthovens lädersula och elastiska putan.
Mellan hovkapselns vägg och kötthoven finns lammeller (“trådar”).
Lamellerna håller ihop hovväggen och hovkapseln nära varandra (om det inte finns skadliga brytkrafter som tänjer ut lamellerna.
Hovens styrka ligger i balansen och symmetrin mellan hovkapseln och kötthoven.
Naturligt nöts hovar lite varje dag, de är inte skapta för att tåla överväxt, då deformeras dem.
Det är alltså VIKTIGT att verka hoven oftare om den är deformerad.
Övervuxen hovvägg skapar brytkrafter på den elastiska hovkapseln, mest i lamellerna.
En barfotahov reglerar hovens storlek med hjälp av sulan.
Hoven kan både bygga sula och avdöda sula. Hovväggarna och traktstöden anpassar sig genom att nötas ner till sulnivå. Klarar inte hoven av det själv får vi hjälpa till med raspen.
HästAkademins erfarenhet är att:
Alla hästar kan ha ett aktivt liv utan hästskor av järn
MEN…
kan alla hästmänniskor?
Alla hästhållare vet inte hur man använder mjuka moderna hästskor, så kallade hästboots istället för järnskor.
Alla hästhållare har inte tillräcklig kunskap om hur man håller hovar utan järnskor friska.
För att en häst ska kunna leva bra barfota, kunna gå i en vanlig hage och ridas normalt behöver hovarna och hästen egentligen inte nån speciell livsstil. Den behöver en livsstil som är lik den som den ursprungligen är skapt för.
Lyckas hästägaren återskapa en naturlig livsstil till sin häst så kommer hen oxå att lyckas bra med att ge hästen ett aktivt liv utan skor av järn och ett hälsosamt liv som “barfotahäst”.
Det finns sällsynta fall där hoven är så skadad av år med järnskor eller sjukdom så det inte går att rehabilitera hoven. Då behöver den stöd av en sko men skon behöver inte vara av järn.
🐎 🐎 🐎

















