Är hovens form defekt, då är hoven ur balans och då finns ett hovproblem.
En rad defekter på hovens form kan lätt uppkomma.
Det händer lätt eftersom hovhornet är mycket flexibelt trots att det är relativt hårt, samt att hoven ständigt växer, precis som våra naglar.
På bilden nedan ser du hur hovväggen är uppböjd. Du ser lammellerna. Dessa finns mellan hovväggen och hovbenet och genom lamellerna sker blodtillförseln till hoven. Även köttsulan syns.
Hovväggen växer från kronranden och ned, samt även lite innefrån och ut. Sulan växer bara innefrån och ut.
Se på filmen nedan hur det kan se ut när hoven växer.
Ibland växer hoven mer rakt upp. Hoven får även då en lång tå men med en extremt hög trakt istället för extremt låg trakt, som på filmen.
Om defekter uppstår ger det hästen problem förr eller senare. Därför bör man vara noga med att skapa förutsättningar för hoven att hålla en balanserad och naturlig form.
En defekt som kan drabba hoven är:
Hovväggshöjning
~
“Hovbenssänkning”
DEFINITION
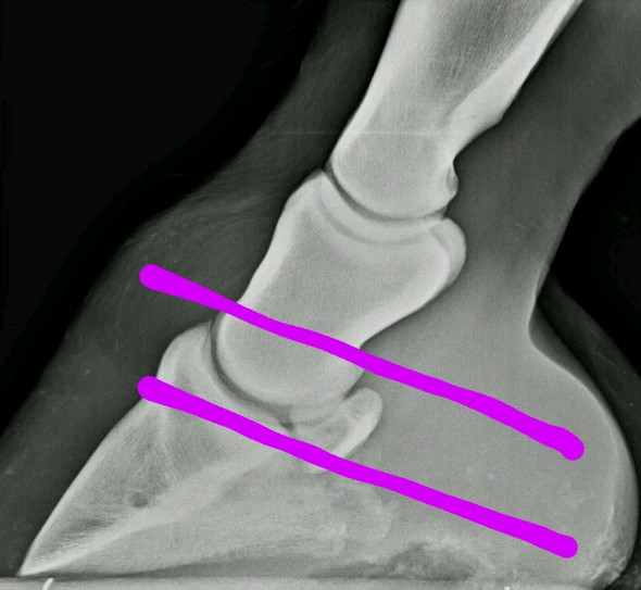
“Hovbenssänkning” mäts fram på en röntgenbild. Veterinären mäter avståndet mellan hovbenets övre kant och kronranden. För att korrigera för hästens storlek beräknas kvoten av det avståndet genom hovbenets längd. Kvoten bör inte överstiga 0,30 (Linford 1987).
Om kronranden är “för högt” ovanför hovbenet säger veterinären att hovbenet sjunkit. *

*Då hästar kan ha olika form och storlek på hovben är det osäkert om denna mätmetod verkligen indikerar ett “felläge”.
De flesta hovformvårdare säger att det som egentligen har hänt är att hovväggen och kronranden har höjts på grund av trycket från för långa hovväggar.
Mätmetoden ovan brister då ännu mer då det bara visar förhållandet mitt på tån. Hovväggen går ju runt hela hoven. Det betyder att det kan finnas hovväggshöjning på andra ställen också såklart, som aldrig diagnoseras. 😳
ORSAK
till att en häst får hovväggshöjning är alltså att hovväggen ensamt, utan hjälp av sula och stråle, har tvingats bära hästens hela vikt. Strålen är hästen trampdyna och liksom på alla djur är trampdynan gjord för bära en mycket stor del av djurets vikt. Jämför gärna med t.ex. hundar, katter, kameler och elefanter där trampdynan naturligtvis bär hela djurets vikt. På hästen hjälper dessutom även sulan till att bära vikt.
På bilden nedan ser vi hoven i genomskärning mitt genom hoven från sida till sida. Till höger syns strålen sticka ner, till vänster ser man sulan som sitter fast i hovväggen längst till vänster. Man ser oxå skon som hoven står på.
När väggen ensamt bär all vikt trycks den uppåt av markens tryck underifrån.
Det kan ske eftersom sulan är elastisk och ger efter. Hovväggen tar med sig kanten på sulan som fäster i den.
Som ni ser så är sulan inte längre slät och skålad, utan den får en böj uppåt där den möter hovväggen. På bilden syns det tydligast på “gropen” som bildas, men som inte syns utifrån, för den är på insidan av sulan.
Man kan ofta även se det på sulans utsida mot marken, skålformen försvinner även där och det blir som en utbuktning i sulans utkant mot väggen.
När hovväggen höjs så höjs ju såklart även kronranden.
Kronranden följer i vanliga fall naturligt formen på hovbenet och har en jämn linje runt hoven.

Hovbenet då?… jo men det står ju på sulan. Det kan alltså inte sjunka eftersom det alltid har samma mått till sulan.
Eventuellt kan sulan “bågna” ner lite av trycket uppifrån om den inte får mottryck från marken, ett scenario som en järnsko lätt åstadkommer.

Man kan då få en sula som är platt istället för skålformad, eller till och med putar ner i kanten mot sulan, eller i extrema fall “sväller” hela sulan.
Det kan möjligen göra så att hovbenet kommer i ett lägre läge i förhållande till kronranden.
ÅTGÄRD
Hovväggshöjning är förhållandevis lätt att rehabilitera.
Det som krävs är att hovväggen blir lägre. Den raspas ner till sulans nivå så att vikt bärs även av sulan och strålen.
Hovmekanismen tillåts då att göra sitt jobb och då återtar hovbenet sitt naturliga läge ganska snart.
Rehabilitering av hovväggshöjning sker därför bäst och snabbast barfota. Med terapeutiska boots om det behövs.
INGA REGLER UTAN UNDANTAG
Anna Hane från ViaHov:
Hovväggshöjning <- >Hovbensänkning kan ibland vara svårt att åtgärda.
~ Det beror på hur mycket interna skador hoven fått i samband med att sänkningen (*hovväggshöjningen) uppstod. Om det handlar om en stor sänkning (*hovväggshöjning) så finns risk att tillväxtzonen i kronranden i tån (*eller den del av kronranden som tryckts upp) har blivit skadad, och därigenom så saknar hovväggen en bra “fästpunkt” mot kronranden och kommer ha väldigt svårt att växa ut i rätt vinkel igen.
*Mina noteringar
Hur kan du hålla koll på hovarna? 🙄
Fortsätt hovresan…
Det är därför VIKTIGT att inga hästar går runt med felverkade hovar.
Övervuxna traktstöd
De två traktstöden kan växa olika fort i samma hov.
Ett övervuxet traktstöd deformeras. Dessutom trycker det vidare deformationen ibland på sulan men framför allt på lammelrand och hovvägg.
Detta problem är en hovvårdsfråga.











